[Người Nuôi Tôm] – Trong những năm gần đây, nhiều nghiên cứu đã chứng minh hiệu quả của việc bổ sung phụ gia thức ăn nhằm tăng cường sức đề kháng cho tôm thẻ chân trắng. Trong đó, các phụ gia có nguồn gốc từ tảo được xem là hướng đi tiềm năng, thay thế cho kháng sinh.

Astaxanthin – một loại carotenoid có nguồn gốc chủ yếu từ tảo (như Haematococcus pluvialis, Chlorella zofingiensis), vi khuẩn (Phaffia rhodozyma) và giáp xác – mang lại nhiều lợi ích cho động vật thủy sản khi được đưa vào khấu phần ăn. Việc bổ sung astaxanthin đã được chứng minh giúp cải thiện tăng trưởng, rút ngăn chu kỳ lột xác, tăng khả năng chống oxy hóa, chống viêm và làm đẹp màu sắc cơ thể tôm. Khi được dùng làm phụ gia thức ăn, astaxanthin từ tảo mang lại hiệu quả rõ rệt về sức khỏe và tăng trưởng cho vật nuôi thủy sản, giúp tăng cường miễn dịch, khả năng chống stress và tỷ lệ sống. H. pluvialis, thuộc họ Haematococcaceae, là nguồn tự nhiên chính cung cấp astaxanthin, với hàm lượng dao động từ 1.5 – 6.0% trong dạng bột khô. Loài tảo này có khả năng tích lũy astaxanthin cao trong điều kiện bất lợi như ánh sáng mạnh, mặn, nhiệt độ cao và thiếu đạm. So với astaxanthin tổng hợp, astaxanthin từ H. pluvialis có tính ổn định và hiệu quả cao hơn, với hoạt tính chống oxy hóa vượt trội. Nghiên cứu mới nhất của Đại học Arish đã đánh giá tiềm năng bổ sung HP trong việc tăng cường sức khỏe tổng thể của tôm thẻ chân trắng.
Thí nghiệm được phê duyệt bởi Hội đồng đạo đức nghiên cứu của Đại học Arish (ARU/Agri.28). Bột vi tảo Haematococcus pluvialis (HP) với hàm lượng astaxanthin 20 g/kg (trọng lượng khô) do Công ty Bioalgo (Trung Quốc) cung cấp được sử dụng. Bốn khẩu phần ăn được chuẩn bị, bổ sung HP ở các mức: 0.0 (đối chứng), 0.5 (HP0.5), 1.0 (HP1), và 1.5 g/kg thức ăn (HP1.5). Thành phần và phân tích hóa học chi tiết được trình bày trong Bảng 1. Tôm thẻ chân trăng giống (L. vannamei) được lấy từ một trang trại ở tỉnh Damietta và thích nghi với môi trường thí nghiệm trong 15 ngày. Tổng cộng 240 con tôm khỏe mạnh (trọng lượng trung bình 5,27 ± 0,12 g) được chia ngẫu nhiên vào 12 lồng lưới (1x1x1 m), mỗi lồng nuôi 20 con. Tôm được chia thành 4 nhóm (3 lồng/ nhóm), cho ăn 4 khẩu phần thử nghiệm trong 8 tuần, 3 lần/ngày (7h, 11h và 15h). Lượng thức ăn là 5% trọng lượng cơ thể trong 4 tuần đầu và giảm xuống 4% trong 4 tuần sau.

Bảng 1. Thành phần của chế độ ăn thử nghiệm (g/kg) và thành phần hóa học (%) với H. pluvialis (HP)

Tăng trưởng, hiệu quả sử dụng thức ăn và tỷ lệ sống
Việc bổ sung bột vi tảo H. pluvialis (HP) vào khẩu phần ăn đã cải thiện rõ rệt các chỉ tiêu tăng trưởng và hiệu quả sử dụng thức ăn của tôm thẻ chân trắng so với nhóm đối chứng. Các nhóm được cho ăn HP cho thấy tăng đáng kể về: trọng lượng cuối, tăng trọng (WG), tăng trưởng trung bình ngày (ADG), tốc độ tăng trưởng đặc hiệu (SGR%), lượng thức ăn tiêu thụ, sinh khối, và tỷ lệ sống (SR); trong khi hệ số chuyển hóá thức ăn (FCR) giảm (P < 0,05). Nhóm HP1.5 đạt kết quả tốt nhất. Phân tích hồi quy cho thấy mức bổ sung tối ưu là 1,2 g HP/kg thức ăn.

Bảng 2. Chỉ số tăng trưởng, hiệu quả thức ăn và tỷ lệ sống của tôm thẻ chân trắng được nuôi bằng H. pluvialis (HP) trong 8 tuần
Thành phần hoá học của cơ thể tôm
Sau 8 tuần bổ sung HP, các nhóm tôm đều có hàm lượng protein và tro trong cơ thể tăng rõ rệt so với đối chứng (P < 0,05), trong khi hàm lượng lipid giảm. Hàm lượng ẩm không thay đổi đáng kể giữa các nhóm. Có mối tương quan thuận giữa mức bổ sung HP với protein, tro và ẩm và tương quan nghịch với lipid.

Hình 1: Biểu đổ đường thể hiện môi quan hệ giữa các mức bổ sung H. pluvialis (0, 0.5, 1.0 và 1.5 g/kg thức ăn) với các chỉ tiêu thành phần cơ thể (protein, lipid, tro và độ ẩm) của tôm thẻ chân trắng sau 8 tuần nuôi
Đáp ứng chống oxy hoá và miễn dịch
Sau 8 tuần bổ sung HP, các chỉ số chống oxy hóa (SOD, CAT, GPx) và miền dịch (THC, RB, LYZ, PO, PA%, PI) của tôm thẻ tăng đáng kể so với nhóm đối chứng (P <0,05). Đồng thời, mức MDA – chỉ thị cho quá trình peroxy hóa lipid – giảm rõ rệt. Nhóm bổ sung HP1.5 đạt kết quả cao nhất ở hầu hết các chỉ tiêu, ngoại trừ RB, không khác biệt đáng kể giữa các nhóm HP.

Bảng 3. Các chỉ số chống oxy hóa/oxy hóa của tôm thẻ chân trắng sau 8 tuần được cho ăn bổ sung H. pluvialis (HP)

Bảng 4. Các chỉ số miễn dịch của tôm thẻ chân trắng sau 8 tuần được bổ sung H. pluvialis (HP) vào khẩu phần ăn
Số lượng vi khuẩn đường ruột
Bổ sung HP ảnh hưởng rõ rệt đến hệ vi sinh đường ruột của tôm thẻ chân trắng (P < 0,05). Cụ thể, khi tăng mức HP, số lượng vi khuẩn hiếu khí tổng và vi khuẩn phân giảm đáng kể, trong khi vi khuẩn có lợi (probiotic) và Clostridium tăng lên. Nhóm HP1.5 có kết quả cải thiện rõ rệt nhất.
Biểu hiện gene miễn dịch và chống oxy hóa
Phân tích biểu hiện gene cho thấy việc bổ sung H. pluvialis làm tăng đáng kể (P <0,05) hoạt động của các gene miễn dịch (proPO, LYZ) và chống oxy hoá (SOD, CAT) theo liều lượng. Cụ thể, nhóm bổ sung HP1.5 có mức biểu hiện cao nhất. So với nhóm đối chứng, mức tăng biểu hiện ở các nhóm HP0.5, HP1.0 và HP1.5 lần lượt đạt 1,95 – 2,57 – 3,05 lần đối với proPO; 1,88 – 2,68 – 3,20 lần đối với LYZ; 1,37 – 2,25 – 2,97 lần đối với SOD; và 2,02 – 2,66 – 3,07 lần đối với CAT. Kết quả này cho thấy HP có tác dụng kích thích mạnh mẽ hệ gene liên quan đến miễn dịch và chống oxy hóa ở tôm thẻ chân trắng.

Hình 2. Số lượng vi khuẩn đường ruột của tôm thẻ chân trắng sau 8 tuần được cho ăn H. pluvialis (HP), gồm: vi khuẩn hiếu khí tổng (x105 CFU), vi khuẩn phân (x104 CFU), vi khuẩn có lợi (probiotic) và Clostridium (CFU). Các nhóm: Đối chứng, HPO.5, HP1.0 và HP1.5 tương ứng với mức bổ sung HP là 0, 0.5, 1.0 và 1.5 g/kg thức ăn. Các cột có chữ cái khác nhau (a-d) thể hiện sự khác biệt có ý nghĩa thống kê (P <0,05)
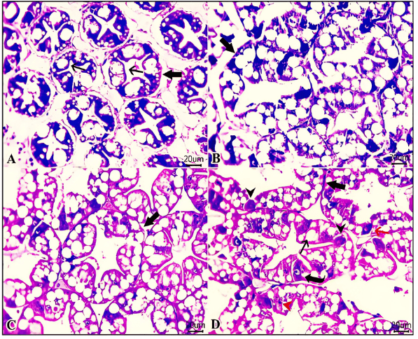
Mô học
Ở nhóm đối chứng, cấu trúc ống gan tụy của tôm được bảo tồn tốt, các tế bào biểu mô lót ống gồm nhiều loại: B-, R-, M-, F- và E-cells. B-cells có bào tương chứa không bào và nhân nằm đáy; R-cells có dạng lăng trụ, bào tương ái toan và nhân đáy; M-cells hình tam giác, bào tương ái kiềm và nhân trung tâm; F-cells kéo dài với cực đỉnh chạm lòng ống; E-cells có nhân lớn chiếm phần lớn bào tương. Đáng chú ý, số lượng túi tiết trong B-cells tăng dần ở các nhóm HP (HP0.5, HP1.0 và HP1.5).
Về mô cơ, nhóm đối chứng cho thấy cấu trúc sợi cơ bình thường với các vạch ngang dọc rõ ràng và nhiều nhân ở ngoại vi. Trong khi đó, ở các nhóm bổ sung HP, sợi cơ vẫn bình thường nhưng có kích thước lớn hơn, rõ nét nhất ở nhóm HP1.0 và HP1.5, kèm theo các vân cơ nổi bật hơn.

Hình 3. Ảnh hiển vi mô gan tụy của tôm thẻ chân trắng sau 8 tuần cho ăn H. pluvialis (HP). [A): Cấu trúc mô học bình thường của các tế bào biểu mô lót ống gan tụy ở nhóm đối chứng, bao gồm các loại tế bào B, R, M, F và E. [B, C, D]: Số lượng túi tiết trong tế bào B tăng dần tương ứng ở các nhóm HP0.5, HP1.0 và HP1.5.

Hình 4. Ảnh hiển vi mô cơ của tôm thẻ chân trắng sau 8 tuần cho ăn H. pluvialis (HP). [A): Cấu trúc mô học bình thường của sợi cơ và mô kẽ ở nhóm đối chứng. [B, C, D]: Độ dày sợi cơ tăng dần ở các nhóm bổ sung HPO.5, HP1.0 và HP1.5. Nhuộm H&E; thước tỷ lệ: 20 m. Các nhóm tôm được cho ăn HP ở mức 0, 0.5, 1.0 và 1.5 g/kg thức ăn.
Nghiên cứu cho thấy việc bổ sung bột vi tảo Haematococcus pluvialis (HP) vào khẩu phần ăn của tôm thẻ chân trắng mang lại nhiều lợi ích toàn diện. Cụ thể, HP giúp cải thiện rõ rệt tốc độ tăng trưởng, hoạt tính enzyme chống oxy hóa, các chỉ số miền dịch, cấu trúc mô gan tụy và cơ, cũng như cân bằng hệ vi sinh đường ruột. Đặc biệt, khả năng kháng nấm Fusarium solani được tăng cường rõ rệt, góp phần giảm tỷ lệ tử vong sau khi gây nhiễm. Mức bổ sung HP tối ưu được xác định là 1,2 g/kg thức ăn. Những kết quả này khẳng định tiềm năng ứng dụng HP như một phụ gia dinh dưỡng hiệu quả, góp phần nâng cao năng suất và tính bền vững trong nuôi tôm.
ThS. Lê Xuân Chinh
Khoa Thuỷ Sản, Học viện Nông Nghiệp Việt Nam
- kỹ thuật li>
- lột xác ở tôm li>
- nuôi tôm li>
- phụ gia từ tảo li> ul>
- Viet Nhat Group đón nhận Chứng nhận Đậu nành Hoa Kỳ: Cam kết hướng đi bền vững
- Thuế giá trị gia tăng trong thức ăn thuỷ sản: Tháo gỡ khúc mắc
- Tôm sú: Dấu ấn ngày trở lại
- Ngành tôm miền Bắc: Nuôi bài bản, đẩy lùi rào cản
- Ông Đặng Bá Mạnh – Giám đốc HTX nuôi tôm CNC Cẩm Phả: Làm nông nghiệp bài bản thì hiệu quả sẽ cao
- Chi tiết nhiệm vụ mới của chính quyền 2 cấp trong lĩnh vực thủy sản và kiểm ngư
- Tôm sú và tôm thẻ chân trắng: Sự khác biệt khi nhiễm EHP
- Tối ưu mật độ thả trong nuôi tôm Biofloc: Cân bằng năng suất và chất lượng nước
- Trí tuệ nhân tạo (AI): Mở lối nghề nuôi trồng thuỷ sản thông minh
- Các phương pháp dinh dưỡng cải thiện chất lượng và hiệu suất ấu trùng tôm
Tin mới nhất
T6,23/01/2026
- Tôm Việt Nam trước ngưỡng thích ứng mới trong chu kỳ tăng trưởng bền vững
- Giá tôm tăng cao, sức mua chậm
- Cà Mau giữ vững thương hiệu tôm trong cạnh tranh quốc tế
- Nuôi tôm công nghệ cao trở thành trụ cột trong chiến lược kinh tế của Vĩnh Long
- Thông tư mới quy định danh mục động vật thủy sản phải kiểm dịch và được miễn kiểm dịch
- Thay đổi tư duy nuôi tôm để phát triển bền vững
- Tôm Việt Nam trước biến động giá và dịch chuyển thị trường nhập khẩu toàn cầu
- Giải pháp sinh học giúp tôm vượt stress lạnh trong nuôi vụ đông
- Thế hệ trẻ ngành thủy sản: Tiên phong làm chủ công nghệ mới
- Thành lập Viện Khoa học Thủy sản Việt Nam, kỳ vọng tạo đột phá về khoa học công nghệ
Các ấn phẩm đã xuất bản
- Giá tôm xuất khẩu tăng mạnh, tạo động lực phục hồi sản xuất và nâng tầm giá trị ngành tôm
- Gần 500 hộ nuôi khẳng định hiệu quả Advance Pro – Tiến bộ kỹ thuật của Grobest
- Người nuôi tôm phập phồng với “ngày nắng, đêm mưa”
- Động lực phát triển đột phá ngành thủy sản
- Công nghệ sinh học toàn diện: Giải pháp nuôi tôm thành công từ Tâm Việt
- Biện pháp kiểm soát khí độc Nitrite (NO2) trong mô hình nuôi tôm TLSS-547
- Ngành chức năng và nông dân Quảng Nam cùng gỡ khó cho nuôi tôm nước lợ
- Thời tiết bất lợi gây thiệt hại hơn 27 triệu con tôm sú, tôm thẻ nuôi
- [Tuyển dụng] – Công ty TNHH Seven Hills Trading tuyển dụng nhiều vị trí hấp dẫn trong năm 2025
- Nhiều diện tích tôm nuôi của Nghệ An bị bệnh đốm trắng
- An toàn sinh học: Giải pháp then chốt cho bài toán dịch bệnh thủy sản
- Sử dụng sóng siêu âm để tính sinh khối ao nuôi tôm
- Máy sưởi ngâm: Cách mạng hóa nghề nuôi tôm ở Việt Nam
- Waterco: Giải pháp thiết bị hàng đầu trong nuôi trồng thủy sản
- GROSHIELD: “Trợ thủ đắc lực” giúp tôm đề kháng vững vàng hàng ngày, sẵn sàng về đích
- Năm mới, nỗi lo cũ: “Làm sao để tăng cường đề kháng cho tôm?”
- Vi sinh: Giải pháp mục tiêu toàn diện
- Grobest Việt Nam: Tiên phong ra mắt sản phẩm thức ăn chức năng hàng ngày Groshield, nâng cao tối đa sức đề kháng, hướng đến những vụ tôm về đích thành công trong năm tới
- Solagron Vietnam: Nhà sản xuất vi tảo công nghiệp đầu tiên mang dấu ấn Việt Nam
- Giải pháp giảm phát thải trong nuôi trồng thủy sản từ bột cá thủy phân




















