[Người Nuôi Tôm] – Enterocytozoon hepatopenaei (EHP) là tác nhân gây bệnh vi bào tử trùng gan tụy (HPM), ảnh hưởng nghiêm trọng đến tôm nuôi, đặc biệt là tôm thẻ chân trắng. Dù ban đầu được phát hiện ở tôm sú, dữ liệu về mức độ gây bệnh hiện tại trên loài này còn hạn chế do xu hướng chuyển sang nuôi tôm thẻ chân trắng. Nghiên cứu này nhằm so sánh độ mẫn cảm của hai loài tôm qua thử nghiệm nhiễm EHP.

Trước thí nghiệm, tôm được kiếm tra không nhiễm EHP (Jaroenlak et al., 2016) và WSSV (WOAH, 2019), chỉ chọn cá thể khỏe mạnh. Tôm sú (2 ± 0,1 g) và tôm thẻ chân trắng (2 ± 0,05 g), mỗi loài 20 con, được lấy mẫu hai hoặc ba lần. Thí nghiệm kéo dài 90 ngày trong bể FRP 100 L có nước biển lọc, điều kiện pH8 ± 0,3, nhiệt độ 28°C, độ mặn 28 ppt. Tôm được cảm nhiễm bằng đường miệng theo Kumar et al. (2022b): nhóm xử lý được cho ăn thức ăn trộn gan tụy nhiễm EHP (tỷ lệ 1:1) trong 4 ngày, 2 lần/ngày, tương đương 5% trọng lượng cơ thể; nhóm đối chứng dùng thức ăn thương mại. Phân được thu trong 7 ngày đầu và bảo quản ở 4°C. Mẫu gan tụy (n = 3) được lấy vào các thời điểm 15, 30, 60 và 90 ngày sau cảm nhiễm để phân tích vi học, ISH và qPCR. Mẫu dùng cho PCR được thu thêm vào ngày 7 và bảo quản ở -80°C. Tỷ lệ sống và tăng trưởng được theo dõi hàng tuần.
Quan sát bằng kính hiển vi quang học và mô học
Tôm được mổ vô trùng, gan tụy và sợi phân tươi được lấy để làm tiêu bản nhuộm calcofluor white (CFW:KOH, 1:1) và quan sát dưới kính hiển vi huỳnh quang (EVOS, Thermo Fisher). Mẫu mô gan tụy được cố định trong dung dịch Davidson AFA, xử lý theo Bell & Lightner (1988), cắt lát (4 um), nhuộm H&E, gắn lam và quan sát dưới kính hiển vi quang học (Nikon Eclipse E200).

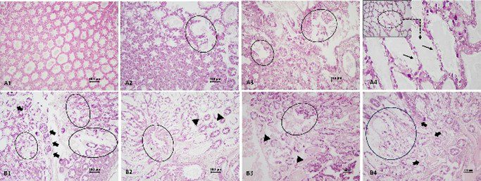
Hình 1. Các lát cắt mô học của gan tụy (HP) của tôm sú bị cảm nhiễm bởi EHP ở thời điểm 15 ngày sau nhiễm (A1), 30 ngày sau nhiễm (A2), 60 ngày sau nhiễm (A3), 90 ngày sau nhiễm (A4) và tôm thẻ chân trắng bị cảm nhiễm bởi EHP ở thời điểm 15 ngày sau nhiễm (B1), 30 ngày sau nhiễm (B2), 60 ngày sau nhiễm (B3), 90 ngày sau nhiễm (B4). A2 và A3 cho thấy hoại tử các ống HP (hình tròn, x 100). A4 cho thấy biểu mô ống HP mỏng đi (mũi tên thẳng, x 100). B1, B2, B3, B4 cho thay hoại từ ống HP nghiêm trọng (hình tròn, X 100). B1 cho thấy bong tế bào biểu mô (mũi tên, x 100), B4 cho thấy thâm nhiễm tế bào máu (mũi tên, x 100). B2, B3 cho thấy sự thoái hoá và bong tróc của ống HP từ màng đáy (mũi tên, x 100).
Chiết tách DNA, PCR và qPCR
DNA từ gan tụy và sợi phân được chiết bằng phương pháp CTAB, định lượng bằng Nanophotometer và bảo quản ở -20°C. PCR sử dụng cặp mồi đặc hiệu gen vỏ bào tử SWP (Jaroenlak et al., 2016). Sản phẩm PCR được phân tích trên gel agarose 1,5%. qPCR được thực hiện theo phương pháp của Kumar et al. (2022a), sử dụng hệ thống StepOne (Applied Biosystems) với đường chuẩn từ DNA plasmid pha loãng.
Lai tại chỗ (ISH)
ISH thực hiện theo Rajendran et al. (2016) với đầu dò SWP-PCR được đánh dấu DIG. Mô được xử lý, khử parafin, tiêu hoá proteinase K, sau đó lai với đầu dò ở 42°C qua đêm. Kết quả được hiển thị bằng kháng thể kháng DIG liên hợp phosphatase kiềm và chất nền BCIP/NBT, sau nhuộm nền bằng Bismarck Brown Y.
Theo dõi tăng trưởng và sống sót
Tỷ lệ sống được theo dõi hàng ngày, trọng lượng cơ thể đo hàng tuần. Các chỉ tiêu tăng trưởng gồm: trọng lượng trung bình (ABW), tăng trưởng trung bình hàng ngày (ADG), tăng cân, tốc độ tăng trưởng riêng (SGR), chỉ số gan (HSI) và tỷ lệ sống.

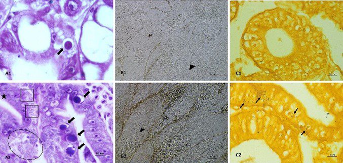
Hình 2. Các lát cắt mô học của gan tụy (HP) của tôm bị thách thức bởi EHP ở thời điểm 90 ngày sau nhiễm (A1- Tôm sú; A2- Tôm thẻ chân trắng). A1 cho thấy sự hiện diện của thể giống như thể vùi ưa kiềm, chỉ ra giai đoạn phát triển của EHP (mũi tên thẳng, x 1000). A2 cho thấy các giai đoạn phát triển được cho là như thể vùi ưa kiềm (mũi tên thẳng, x 1.000), thể dạng hạt (hình sao, x 1.000), hoại tử nghiêm trọng (hình tròn x 1.000) và các cấu trúc giống như bào tử (ô vuông, x 1.000).
Kết quả
Kết quả quan sát mô học
Gan tụy của tôm nhiễm EHP được nhuộm calcofluor white (CFW) cho thấy sự hiện diện của bào tử tại các thời điểm thu mẫu khác nhau. Ở tôm sú P. monodon, mô học gan tụy ghi nhận tổn thương nhẹ với hoại tử ống ở 30 và 60 dpc (Hình 1A2, A3), và ở 90 dpc xuất hiện thể vùi ưa kiềm (Hình 2A1) cùng sự thoái hóa biểu mô ống (Hình 1A4).
Ngược lại, tôm thẻ chân trắng P. vannamei cho thấy tổn thương nghiêm trọng hơn, gồm thoái hóa, hoại tử ống, bong tróc biểu mô và thâm nhiễm tế bào máu trong suốt thí nghiệm (Hình 1B1-B4). Nhiều giai đoạn phát triển của EHP như thể vùi, thể hạt và bào tử cũng được quan sát (Hình 2A2).
Tiêu bản tươi gan tụy của cả hai loài đều thể hiện cấu trúc giống microvilli biến đổi (ATM) đặc trưng (Hình 2B1, B2). ISH cho thấy tín hiệu dương tính rõ ràng ở tôm thẻ chân trắng tại 90 dpc, trong khi tôm sú không có tín hiệu phát hiện được (Hình 2C1, C2). Nhuộm CFW cũng cho thấy mật độ bào tử cao hơn đáng kể ở tôm thẻ so với tôm sú (Hình 3A, B).

Hình 3. Vết nhuộm trắng Calcofluor cho thấy các bào tử EHP phân bố thưa thớt (mũi tên trắng, x 1.000) trong mô HP của tôm sú (A) bị cảm nhiễm bởi EHP ở 90 dpc so với các cụm bào tử khối (ngôi sao đỏ, x 1.000) và các bào tử riêng biệt (mũi tên trắng, x 1.000) trong mô HP của tôm thẻ bị cảm nhiễm bởi EHP (B) trong tế bào chất của tế bào biểu mô. Lưu ý – sự phân bố của các bào tử ở các độ phân giải khác nhau (x 100, ×400, x 1.000).
Kết quả PCR và qPCR
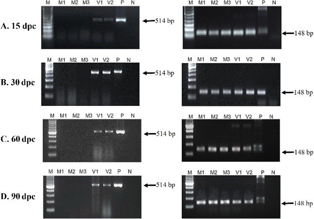
Tôm thẻ chân trăng (P. vannamei) cảm nhiễm với EHP cho kết quả dương tính với EHP từ 7 ngày sau cảm nhiềm (dpc) băng PCR bậc một, trong khi tôm sú (P. monodon) chỉ dương tính ở bước PCR lông nhau. Kết quả này duy trì trong suốt thời gian thí nghiệm đến 90 dpc (Hình 4). Nhóm đối chứng luôn âm tính với EHP.
Phân tích qPCR cho thấy sự gia tăng tải lượng EHP theo thời gian ở tôm sú, dao động từ 5,6 – 10,3 x 103 bản sao/uL DNA, cao nhất tại 60 dpc (9,0 – 12,6 x 103), tiếp theo là 90 dpc (7,5 – 10,8 x 103 ), 15 dpc (5,8 -7,0 x 103), và 30 dpc (4,8 – 6,4 x 103). Trong khi đó, tải lượng EHP ở tôm thẻ cao hơn đáng kể, từ 1,5 – 5,3 x 105 bản sao/uL DNA. Mức cao nhất được ghi nhận tại 90 dpc (4,0 -6,3 x 105), sau đó là 60 dpc (2,0 – 3,4 x 105), 15 dpc (1,0 – 2,4 x 105), và 30 dpc (1,0 – 2,2 x 105). Kết quả cho thấy tôm thẻ mang tải lượng EHP cao hơn đáng kế so với tôm sú ở tất cả các thời điểm (Hình 5).

Hình 4. Điện di gel agarose của các sản phẩm SWP-PCR hai bước được khuếch đại từ DNA gan tụy của tôm sú (M1, M2, M3) và tôm thẻ (V1, V2) được cảm nhiễm với EHP ở thời điểm 15 (A), 30 (B), 60 (C) và 90 (ngày).

Hình 5. Tải lượng EHP ở tôm sú và tôm thẻ bị nhiễm thực nghiệm ở các khoảng thời gian khác nhau 15, 30, 60 và 90 dpc (trung bình SD, n = 3). Các chữ cái mũ trên thể hiện ý nghĩa thống kê ở P < 0,05.


Hình 6. Hiệu suất tăng trưởng của tôm sú P. monodon và tôm thẻ chân trắng P. vannamei được cảm nhiễm với EHP và đối chứng (không bị nhiễm) trong thời gian thử nghiệm (90 ngày sau nhiễm).
Tăng trưởng và tỷ lệ sống của tôm thí nghiệm
Tại 90 ngày sau cảm nhiễm (dpc), trọng lượng cơ thể trung bình của tôm sú nhiễm EHP (4,48 ± 0,16 g) và tôm thẻ chân trắng nhiễm EHP (7,05 ± 0,07 g) đều giảm đáng kể so với nhóm đối chứng tương ứng (5,23 ± 0,14 g và 9,22 ± 0,16 g; P < 0,05). Mức tăng trọng (AW) ở tôm sú và tôm thẻ chân trắng bị nhiễm lần lượt là 2,47 ± 0,21 g và 5,01 ± 0,12 g, thấp hơn so với đối chứng (3,23 ± 0,19 g và 7,26 ± 0,22 g; P < 0,05).
Tốc độ tăng trưởng riêng (SGR) của tôm sú bị nhiễm (0,89 ± 0,07%/ngày) thấp hơn so với đối chứng (1,07 ± 0,06%/ ngày), nhưng không có ý nghĩa thống kê (P > 0,05). Trong khi đó, SGR của tôm thẻ chân trắng bị nhiễm (1,37 ± 0,79%/ngày) thấp hơn đáng kể so với đối chứng (1,72 ± 0,05%/ngày; P < 0,05).
Tỷ lệ tăng trưởng trung bình hàng ngày (ADG) của tôm sú và tôm thẻ chân trắng bị nhiễm lần lượt là 27,4 ± 2,3 mg và 55,6 ± 1,4 mg, thấp hơn đáng kể (P < 0,05) so với đối chứng (35,9 ± 2,1 mg và 80,6 ± 2,5 mg). Chỉ số gan thể (HSI) cũng có xu hướng giảm ở cả hai loài sau khi nhiễm EHP: tôm sú (4,60 ± 0,85%) so với đôi chứng (4,74 ± 0,38%), và tôm thẻ chân trắng (5,32 ± 0,55%) so với đối chứng (5,90 ± 0,12%).
Tỷ lệ sống sót của tôm sú bị nhiễm (75 ± 12,50%) thấp hơn không đáng kể so với đối chứng (79,16 ± 14,43%; P > 0,05). Tuy nhiên, tôm thẻ chân trắng bị nhiễm có tỷ lệ sống sót giảm mạnh (37,5 ± 17,60%) so với đối chứng (62,5 ± 0%), mặc dù khác biệt này cũng không đạt mức ý nghĩa thống kê (P > 0,05). Sự khác biệt về kích thước giữa các nhóm được minh họa tại Hình 7.

Hình 7. So sánh sự tăng trưởng và kích thước ở 90 dpc của (A1) đối chứng (không bị nhiễm) tôm sú và (A2) tôm sú được cảm nhiễm EHP với (B1) đối chứng (không bị nhiễm) tôm thẻ chân trắng và (B2) tôm thẻ chân trắng được cảm nhiễm EHP.
Nghiên cứu này là báo cáo đầu tiên về sự cảm nhiễm thực nghiệm Enterocytozoon hepatopenaei (EHP) ở tôm sú Penaeus monodon. Kết quả cho thấy, mặc dù tôm sú có khả năng nhiễm EHP, mức độ ảnh hưởng thấp hơn đáng kể so với tôm thẻ về tải lượng ký sinh, tổn thương mô học và tín hiệu lai in situ. Việc sử dụng hậu ấu trùng tôm sú sạch mầm bệnh (SPF) cùng với các biện pháp quản lý chặt chẽ có thể là chiến lược khả thi để giảm thiểu tác động của EHP trong nuôi thương phẩm. Tuy nhiên, cần có thêm các nghiên cứu sâu hơn nhằm làm sáng tỏ cơ chế sinh học nền tảng cho sự khác biệt về mức độ cảm nhiễm và biểu hiện bệnh lý giữa hai loài.
ThS. Lê Xuân Chinh
Học viện Nông nghiệp Việt Nam
- Chiết tách DNA li>
- Enterocytozoon hepatopenaei (EHP) li>
- PCR và qPCR li>
- tôm sú li>
- tôm thẻ chân trắng li> ul>
- Viet Nhat Group đón nhận Chứng nhận Đậu nành Hoa Kỳ: Cam kết hướng đi bền vững
- Thuế giá trị gia tăng trong thức ăn thuỷ sản: Tháo gỡ khúc mắc
- Tôm sú: Dấu ấn ngày trở lại
- Ngành tôm miền Bắc: Nuôi bài bản, đẩy lùi rào cản
- Ông Đặng Bá Mạnh – Giám đốc HTX nuôi tôm CNC Cẩm Phả: Làm nông nghiệp bài bản thì hiệu quả sẽ cao
- Chi tiết nhiệm vụ mới của chính quyền 2 cấp trong lĩnh vực thủy sản và kiểm ngư
- Tối ưu mật độ thả trong nuôi tôm Biofloc: Cân bằng năng suất và chất lượng nước
- Trí tuệ nhân tạo (AI): Mở lối nghề nuôi trồng thuỷ sản thông minh
- Các phương pháp dinh dưỡng cải thiện chất lượng và hiệu suất ấu trùng tôm
- Hội nghị Khoa học trẻ toàn quốc ngành thủy sản lần thứ 14: Hoàn tất công tác chuẩn bị, sẵn sàng cho ngày hội lớn
Tin mới nhất
T3,12/05/2026
- Doanh nghiệp tôm kiến nghị ‘nới lỏng’ hạn mức đất đai để đầu tư sản xuất lớn
- Khánh Hòa: Người nuôi tôm hùm giảm thả giống do giá thấp
- Bộ trưởng Trịnh Việt Hùng: Đừng đánh đổi vùng nuôi tôm lấy dự án tỷ USD
- Nghệ An: Chủ động đưa tôm vào nhà lưới khép kín để ứng phó nắng nóng
- Axit hữu cơ và công nghệ enzyme: Hướng tiếp cận nâng cao hiệu suất nuôi trồng thủy sản
- Protein từ bột côn trùng: Nguồn dinh dưỡng mới cho tôm giống
- Hà Tĩnh: Siết chặt quản lý tôm giống vụ xuân – hè
- Mô hình nuôi tôm TLSS: Nâng tầm nghề nuôi tôm siêu công nghiệp
- Hoa Kỳ đưa Việt Nam vào diện cảnh báo cao nhất về sở hữu trí tuệ: Doanh nghiệp thủy sản cần siết chặt hồ sơ tuân thủ
- Công nghệ sinh học vô hiệu hóa vi bào tử trùng EHP trong nuôi tôm
Các ấn phẩm đã xuất bản
- TOPGEN giới thiệu dòng tôm sú gia hóa thế hệ mới, ký kết hợp tác chiến lược với doanh nghiệp giống
- Thành lập Hiệp hội Tôm Việt Nam: Ngành tôm chính thức có tổ chức đại diện cấp quốc gia
- Giá tôm xuất khẩu tăng mạnh, tạo động lực phục hồi sản xuất và nâng tầm giá trị ngành tôm
- Gần 500 hộ nuôi khẳng định hiệu quả Advance Pro – Tiến bộ kỹ thuật của Grobest
- Người nuôi tôm phập phồng với “ngày nắng, đêm mưa”
- Động lực phát triển đột phá ngành thủy sản
- Công nghệ sinh học toàn diện: Giải pháp nuôi tôm thành công từ Tâm Việt
- Biện pháp kiểm soát khí độc Nitrite (NO2) trong mô hình nuôi tôm TLSS-547
- Ngành chức năng và nông dân Quảng Nam cùng gỡ khó cho nuôi tôm nước lợ
- Thời tiết bất lợi gây thiệt hại hơn 27 triệu con tôm sú, tôm thẻ nuôi
- An toàn sinh học: Giải pháp then chốt cho bài toán dịch bệnh thủy sản
- Sử dụng sóng siêu âm để tính sinh khối ao nuôi tôm
- Máy sưởi ngâm: Cách mạng hóa nghề nuôi tôm ở Việt Nam
- Waterco: Giải pháp thiết bị hàng đầu trong nuôi trồng thủy sản
- GROSHIELD: “Trợ thủ đắc lực” giúp tôm đề kháng vững vàng hàng ngày, sẵn sàng về đích
- Năm mới, nỗi lo cũ: “Làm sao để tăng cường đề kháng cho tôm?”
- Vi sinh: Giải pháp mục tiêu toàn diện
- Grobest Việt Nam: Tiên phong ra mắt sản phẩm thức ăn chức năng hàng ngày Groshield, nâng cao tối đa sức đề kháng, hướng đến những vụ tôm về đích thành công trong năm tới
- Solagron Vietnam: Nhà sản xuất vi tảo công nghiệp đầu tiên mang dấu ấn Việt Nam
- Giải pháp giảm phát thải trong nuôi trồng thủy sản từ bột cá thủy phân





















