1. Các yếu tố ảnh hưởng đến chức năng gan gan tôm
Các yếu tố về môi trường và chất lượng nước
• NH3/NH4+, NO2-, NO3-, H2S: gây ra tổn thương màng tế bào gan,dẫn đến hiện tượng chết tế bào theo chu trình, từ đó thay đổi cấu trúc, màu sắc và hoại tử mô gan, teo gan, ly giải và hình thành các khoảng trống trong các tế bào, dẫn đến căng thẳng mãn tính và ảnh hưởng đến chức năng gan tôm, cá.
• Độ mặn và nhiệt độ: độ mặn cao, đặc biệt trên 35 – 40 ppt làm thay đổi biểu hiện gen liên quan đến bảo vệ miễn dịch, chuyển hóa dinh dưỡng, giảm hoạt động của enzyme tiêu hóa như pepsin, lipase và amylase, ảnh hưởng đến chuyển hóa lipid ở gan. Nhiệt độ nước cao, đặc biệt trên 33°C có thể gây ra thay đổi cấu trúc mô học như xoắn, teo hay vỡ của các ống gan, làm suy yếu chức năng miễn dịch, chuyển hóa và giải độc của gan tôm, cá.
Các yếu tố liên quan đến thức ăn
• Thành phần thức ăn: ảnh hưởng đáng kể đến gan của tôm, cá nuôi, chế độ ăn nhiều chất béo, sắt dư thừa và mức protein không phù hợp gây ra tích lũy lipid và stress oxy hóa. Thiếu protein trong thức ăn làm suy yếu hệ thống miễn dịch, làm tăng tính dễ bị tổn thương đối với các mần bệnh.
• Thức ăn chứa các độc tố như glyphosate hoặc microcystin hay mức độ protein không phù hợp gây hại cho gan động vật thuỷ sản bằng cách gây tổn thương các mô, stress oxy hóa và rối loạn chuyển hóa lipid. Các thiệt hại này làm suy yếu các chức năng sinh lý, giảm khả năng chống oxy hóa và hệ thống miễn dịch của chúng.
Tác nhân mầm bệnh
• Bệnh hoại tử gan tụy cấp (AHPND) trên tôm do các chủng V. parahaemolyticus mang plasmid pVA1 đặc hiệu, mã hóa gen độc tố PirA và PirB gây ra, chúng can thiệp vào các quá trình quan trọng như đáp ứng miễn dịch, tăng trưởng tế bào. Sự tương tác này gây ra tổn thương nghiêm trọng, dẫn đến hoại tử gan tụy cấp tính.
• Enterocytozoon hepatopenaei (EHP) gây ra sự phát triển chậm bằng cách lây nhiễm vào gan tụy tôm, dẫn đến những thay đổi trong quá trình chuyển hóa glucose và lipid trong gan tuỵ, các enzyme chính tham gia vào quá trình phân hủy glucose biểu hiện bất thường, trong khi các enzyme tổng hợp glucose lại tăng cường hoạt động, từ đó gây rồi loạn quá trình chuyển hoá năng lượng.
Quản lý trang trại và các yếu tố khác
• Chu kỳ nuôi: độ dài của chu kỳ nuôi có thể ảnh hưởng đến mật độ Vibrio trong gan tụy của tôm.
• Tuổi của trại nuôi: tuổi của trại nuôi hoặc chu kỳ nuôi là một yếu tố ảnh hưởng đến sức khỏe của gan tụy.
• Phơi nhiễm hóa chất: các tác nhân gây căng thẳng hóa học như căng thẳng cacbonat, dư lượng hoá chất độc hại/kháng sinh và thậm chí một số loại thuốc trừ sâu có thể gây tổn thương mô học, làm thay đổi các con đường trao đổi chất và ảnh hưởng đến chức năng miễn dịch ở gan tụy.
• Quản lý nước: các hoạt động như thay nước, mưa và xử lý nước đầu vào có thể ảnh hưởng đến chất lượng nước và gián tiếp ảnh hưởng đến sức khỏe gan tụy.

Hình 1. Hình chụp hệ thống gan tuỵ tôm thẻ chân trắng (P. vannamei), nhóm tôm khoẻ (a – c) và nhóm tôm nhiễm bệnh gan tuỵ (d – h), Rodolfo & cs, 2022

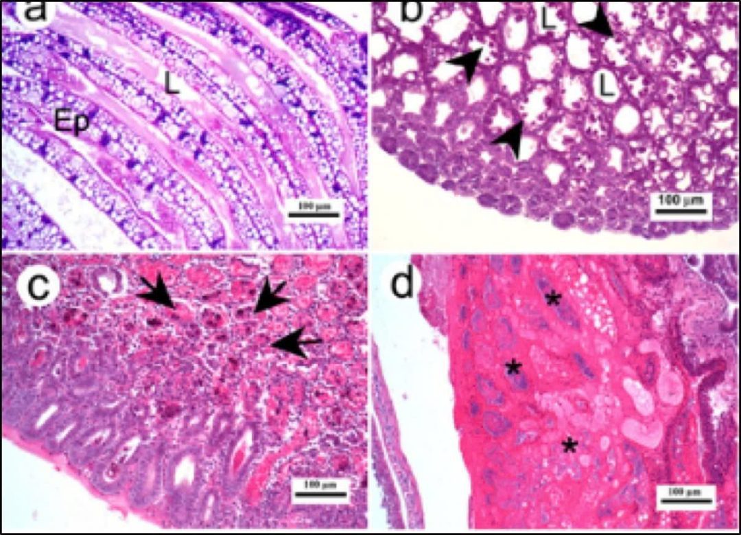
Hình 2. Ảnh chụp vi thể gan tụy (Hp) từ tôm thẻ chân trắng (P. vannamei) khỏe mạnh (a) và bị bệnh (b – d): a) Các ống trong mặt cắt dọc với biểu mô) và cấu trúc ống bình thường; (b – d) Gan trong đường cong ngang với các tổn thương liên quan đến hoại tử gan tuỵ cấp; b) Biểu mô cho thấy các không bào thấp trong tế bào R, B và các tế bào biểu mô kéo dài (mũi tên) vào lòng ống (L); c) Gan trong giai đoạn cấp tính, các ống cho thấy một khối lượng lớn và các tế bào hoại tử vào lòng ống (mũi tên); d) Gan trong giai đoạn cuối, một khối hoại tử nghiêm trọng hình ống và nhiều vi khuẩn. Nhuộm hematoxylin eosin-phloxin (Rodolfo & cs, 2022)
2. Giải pháp HEPAVIROL PLUS

Hình 3. Hình dạng, màu sắc, mùi vị và quy cách đóng gói sản phẩm Hepavirol Plus
• Sorbitol: có nhiệm vụ tăng cường chức năng gan, phòng bệnh gan; đào thải độc tố, kháng sinh, đề kháng tốt với bệnh. Cơ chế của nó liên quan đến việc cải thiện quá trình chuyển hóa năng lượng và khả năng chống chịu stress, đặc biệt là trong điều kiện thiếu oxy và nhiệt độ cao. Sorbitol làm tăng hô hấp trong điều kiện kỵ khí bằng cách điều chỉnh các enzyme như succinate dehydrogenase (SDH) và lactate dehydrogenase (LDH) để bù đắp năng lượng thiếu hụt và tăng tỷ lệ sống sót cho tôm, cá. Sorbitol cũng giúp duy trì mức năng lượng bình thường và có khả năng cải thiện khả năng giữ nước, độ ổn định của protein sợi cơ tôm, cá trong điều kiện stress.
• Methionine: chuyển hóa chất độc (độc tố nấm mốc, kháng sinh) thành không độc nhờ sự hiện diện nhóm methyl. Chuyển hóa chất béo. Ở tôm thẻ chân trắng, DL-Methionine cải thiện sức khỏe gan tụy bằng cách hoạt động như một tiền chất cho các chức năng thiết yếu, từ đó tăng cường khả năng chống oxy hóa, đáp ứng miễn dịch và tổng hợp protein. Nó thúc đẩy sản xuất các chất chống oxy hóa như glutathione và hỗ trợ tổng hợp protein mới ở gan. Việc bổ sung thành phần này giúp giảm thiểu tổn thương gan tụy bằng cách tăng hoạt động của enzyme tiêu hóa và tăng cường các thông số miễn dịch như lysozyme và acid phosphatase.
• Lysine: là một axit amin thiết yếu, là thành phần quan trọng trong thức ăn cho tôm thẻ chân trắng, cần thiết cho sự tăng trưởng, phát triển cơ và duy trì sức khỏe gan tụy. Tăng cường hấp thu canxi, tạo cơ trọng và tăng trưởng nhanh. Việc bổ sung lysine có thể giúp duy trì hình thái bình thường của gan tụy và làm giảm những thay đổi bệnh lý, chẳng hạn như bệnh hắc tố tế bào, có thể xảy ra khi thiếu nguồn protein trong chế độ ăn.
• Betain: điều hòa áp suất thẩm thấu, dẫn dụ, kích thích bắt mồi, giúp tăng trọng và tăng trưởng nhanh. Betaine hoạt động như một chất thẩm thấu, một phân tử hữu cơ tích tụ để chống lại căng thẳng thẩm thấu, đặc biệt là khi độ mặn thay đổi. Các nghiên cứu đã chỉ ra rằng, nồng độ betaine có thể tăng lên trong gan tụy để đáp ứng với các tác nhân gây bệnh như các loài Vibrio, cho thấy vai trò trong việc tăng cường khả năng miễn dịch.
• Inositol: tăng hiệu suất tăng trưởng Inositol và choline giúp tôm tăng cường dùng chất béo, giảm tích lũy chất béo ở gan và cơ thể do thức ăn có nhiều chất béo hoặc tỷ lệ năng lượng/protein cao hơn mức thích hợp. Nó cải thiện khả năng chống oxy hóa và chức năng miễn dịch, hỗ trợ vận chuyển và phân hủy lipid. Việc bổ sung giúp giảm thiểu căng thẳng do các yếu tố như độ mặn thấp và amoniac, khiến nó trở thành một công cụ hữu ích trong nuôi tôm, cá để tăng cường tăng trưởng, tỷ lệ sống và sức khỏe tổng thể.
• Vitamins: điều kiện căng thẳng có thể làm thay đổi quá trình chuyển hóa vitamin B trong gan tụy, ảnh hưởng đến quá trình sinh tổng hợp axit amin và tiêu hóa protein. Bổ sung vitamin C giúp tăng cường hiệu suất tăng trưởng và hiệu quả sử dụng thức ăn bằng cách điều hòa tăng cường enzyme tiêu hóa (ví dụ: amylase, trypsin) trong gan tụy tôm, cá.
• Thảo dược: chiết xuất Atisô và thành phần hoạt chất cynarin của nó có tác dụng bảo vệ gan khỏi bị tổn thương bằng cách hoạt động như một chất chống oxy hóa bằng cách tăng các enzyme bảo vệ gan (catalase và superoxide dismutase) và cải thiện mức độ men gan.

Sơ đồ 1. Lợi ích của Hepavirol Plus trên tôm, cá
Hướng dẫn sử dụng

Hiệu quả thực tế từ khách hàng của Công ty Sando







Hình 4. Một số trường hợp điển hình sử dụng hiệu quả sản phần Hepavirol Plus riêng rẽ và kết hợp với các dạng thuốc khác cho hiệu quả cao
Mọi thông tin vui lòng liên hệ:
Công ty TNHH SANDO
Địa chi: 64 đường số 9, KP3, P. Linh Xuân, TP. HCM
Hotline: 0909 066 459 – 0909 122 459
Website: sando.com.vn
- Cập nhật giá tôm thẻ miền Tây: Cao nhất đạt 175.000 đồng/kg
- Chi phí đầu vào tăng mạnh, giá tôm lao dốc: Người nuôi miền Tây đối mặt nguy cơ treo ao
- Cà Mau: Nắng nóng khiến hơn 1.300 ha thủy sản thiệt hại
- Tập đoàn Thăng Long ghi dấu với hai chứng nhận quốc tế ASC và SMETA
- Bột đậu nành: Dư địa lớn trong tối ưu chi phí nuôi tôm
- Chất tạo màu trà: Giải pháp ổn định môi trường, nâng cao hiệu suất nuôi tôm
- Nút thắt đầu vào làm khó doanh nghiệp thủy sản
- Chính sách nhập khẩu thức ăn thủy sản mới: Rõ thủ tục, ngắn thời gian
- Chuẩn bị diễn ra Hội nghị Khoa học công nghệ Thủy sản và Kiểm ngư toàn quốc lần đầu tiên
- Hùng Nhơn và De Heus khảo sát Trần Đề, đón đầu hạ tầng logistics xuất khẩu
Tin mới nhất
CN,26/04/2026
- Cập nhật giá tôm thẻ miền Tây: Cao nhất đạt 175.000 đồng/kg
- Chi phí đầu vào tăng mạnh, giá tôm lao dốc: Người nuôi miền Tây đối mặt nguy cơ treo ao
- Cà Mau: Nắng nóng khiến hơn 1.300 ha thủy sản thiệt hại
- Tập đoàn Thăng Long ghi dấu với hai chứng nhận quốc tế ASC và SMETA
- Bột đậu nành: Dư địa lớn trong tối ưu chi phí nuôi tôm
- Chất tạo màu trà: Giải pháp ổn định môi trường, nâng cao hiệu suất nuôi tôm
- Nút thắt đầu vào làm khó doanh nghiệp thủy sản
- Chính sách nhập khẩu thức ăn thủy sản mới: Rõ thủ tục, ngắn thời gian
- Chuẩn bị diễn ra Hội nghị Khoa học công nghệ Thủy sản và Kiểm ngư toàn quốc lần đầu tiên
- Hùng Nhơn và De Heus khảo sát Trần Đề, đón đầu hạ tầng logistics xuất khẩu
Các ấn phẩm đã xuất bản
- Thành lập Hiệp hội Tôm Việt Nam: Ngành tôm chính thức có tổ chức đại diện cấp quốc gia
- Giá tôm xuất khẩu tăng mạnh, tạo động lực phục hồi sản xuất và nâng tầm giá trị ngành tôm
- Gần 500 hộ nuôi khẳng định hiệu quả Advance Pro – Tiến bộ kỹ thuật của Grobest
- Người nuôi tôm phập phồng với “ngày nắng, đêm mưa”
- Động lực phát triển đột phá ngành thủy sản
- Công nghệ sinh học toàn diện: Giải pháp nuôi tôm thành công từ Tâm Việt
- Biện pháp kiểm soát khí độc Nitrite (NO2) trong mô hình nuôi tôm TLSS-547
- Ngành chức năng và nông dân Quảng Nam cùng gỡ khó cho nuôi tôm nước lợ
- Thời tiết bất lợi gây thiệt hại hơn 27 triệu con tôm sú, tôm thẻ nuôi
- [Tuyển dụng] – Công ty TNHH Seven Hills Trading tuyển dụng nhiều vị trí hấp dẫn trong năm 2025
- An toàn sinh học: Giải pháp then chốt cho bài toán dịch bệnh thủy sản
- Sử dụng sóng siêu âm để tính sinh khối ao nuôi tôm
- Máy sưởi ngâm: Cách mạng hóa nghề nuôi tôm ở Việt Nam
- Waterco: Giải pháp thiết bị hàng đầu trong nuôi trồng thủy sản
- GROSHIELD: “Trợ thủ đắc lực” giúp tôm đề kháng vững vàng hàng ngày, sẵn sàng về đích
- Năm mới, nỗi lo cũ: “Làm sao để tăng cường đề kháng cho tôm?”
- Vi sinh: Giải pháp mục tiêu toàn diện
- Grobest Việt Nam: Tiên phong ra mắt sản phẩm thức ăn chức năng hàng ngày Groshield, nâng cao tối đa sức đề kháng, hướng đến những vụ tôm về đích thành công trong năm tới
- Solagron Vietnam: Nhà sản xuất vi tảo công nghiệp đầu tiên mang dấu ấn Việt Nam
- Giải pháp giảm phát thải trong nuôi trồng thủy sản từ bột cá thủy phân





















